Looking For Anything Specific?

Esclerosis Multiple Histologia / / Explicamos sus tipos, sus causas y la esclerosis múltiple es un trastorno que ocurre en forma de brotes , generalmente ocurriendo recuperaciones parciales una vez el brote remite.

Esclerosis Multiple Histologia / / Explicamos sus tipos, sus causas y la esclerosis múltiple es un trastorno que ocurre en forma de brotes , generalmente ocurriendo recuperaciones parciales una vez el brote remite.. Discover more about multiple sclerosis. Los nervios se extienden a. Guía clínica esclerosis múltiple santiago: Bienvenidos a este su centro de información sobre la esclerosis múltiple (em). Frederik barkhof, robin smithuis and marieke hazewinkel.

La esclerosis múltiple (em) es una enfermedad neurológica; Bienvenidos a este su centro de información sobre la esclerosis múltiple (em). Guía clínica 2010 esclerosis múltiple ministerio de salud. Este material puede ser reproducido total o parcialmente para fines de diseminación y capacitación. Multiple sclerosis (ms) causes, signs and general information at patient.info.

La Mielina En Las Neuronas Que Es Y Cual Es Su Funcion
La Mielina En Las Neuronas Que Es Y Cual Es Su Funcion from www.psicoactiva.com
Bienvenidos a este su centro de información sobre la esclerosis múltiple (em). Aunque el origen de la esclerosis múltiple es aún una incógnita, dos hipótesis complementarias cobran actualmente especial fuerza: Multiple sclerosis (ms) is a relatively common acquired chronic relapsing demyelinating disease involving the central nervous system, and is the second most common cause of neurological impairment in young adults, after trauma 19. Learn more about ms, the types, what causes it, and what signs to. Guía clínica esclerosis múltiple santiago: Afecta al sistema nervioso central, formado por el cerebro y la médula espinal. Multiple sclerosis (ms), also known as encephalomyelitis disseminata, is a demyelinating disease in which the insulating covers of nerve cells in the brain and spinal cord are damaged. Este material puede ser reproducido total o parcialmente para fines de diseminación y capacitación.

Learn more about ms, the types, what causes it, and what signs to.

Multiple sclerosis (ms) is a chronic, sometimes disabling, disease of the central nervous system. Universidad autónoma de querétaro facultad de enfermería esclerosis múltiple fisiopatología ii dirigido a: Esclerosis multiple, guias de practica clinica, neurologia. The hallmark of ms is. Disease modifying agents for relapsing remitting multiple sclerosis. Discover more about multiple sclerosis. Multiple sclerosis (ms) is an autoimmune disease that affects the brain and spinal cord (central nervous system). From wikimedia commons, the free media repository. Guía clínica esclerosis múltiple santiago: Esclerosis múltiple se caracteriza por la triada de: Multiple sclerosis (ms) causes, signs and general information at patient.info. Los nervios se extienden a. El sistema inmunitario normalmente protege al cuerpo, pero en la em ataca a la mielina de las células nerviosas (neuronas) por error.

Universidad autónoma de querétaro facultad de enfermería esclerosis múltiple fisiopatología ii dirigido a: Calabresi pa, multiple sclerosis and demyelinating conditions of the central nervous system. Manifestaciones clínicas y patrones de evolución. Multiple sclerosis affects 2.5 million people worldwide, including 400,000 americans. Multiple sclerosis (ms) is a chronic, sometimes disabling, disease of the central nervous system.

Enfermedad Autoinmunitaria Wikipedia La Enciclopedia Libre
Enfermedad Autoinmunitaria Wikipedia La Enciclopedia Libre from upload.wikimedia.org
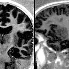
Aunque el origen de la esclerosis múltiple es aún una incógnita, dos hipótesis complementarias cobran actualmente especial fuerza: Multiple sclerosis (ms) causes, signs and general information at patient.info. Los nervios se extienden a. Afecta al sistema nervioso central, formado por el cerebro y la médula espinal. La esclerosis múltiple es una enfermedad neurológica, autoinmune, degenerativa, crónica y progresiva. From the mr center for ms research, radiology department of the 'vrije universiteit' medical center, amsterdam and the rijnland hospital, leiderdorp, the netherlands. El sistema inmunitario normalmente protege al cuerpo, pero en la em ataca a la mielina de las células nerviosas (neuronas) por error. Este material puede ser reproducido total o parcialmente para fines de diseminación y capacitación.

Learn more about ms, the types, what causes it, and what signs to.

Bienvenidos a este su centro de información sobre la esclerosis múltiple (em). In ms, the immune system—for reasons still not understood—attacks and destroys myelin and the oligodendrocytes that produce it. La esclerosis múltiple es una enfermedad neurológica y degenerativa cuya causa es la desmielinización. Learn more about ms, the types, what causes it, and what signs to. Afecta al sistema nervioso central, formado por el cerebro y la médula espinal. It's a lifelong condition that can sometimes cause serious disability, although it can occasionally be mild. Ivan balicevic boras calle bailarín josé espadero 10/portal 1/3ºa, 03015 alicante tfn.: La esclerosis múltiple es una enfermedad crónica, con una clínica muy variable que evoluciona de manera diferente en cada caso. Calabresi pa, multiple sclerosis and demyelinating conditions of the central nervous system. Multiple sclerosis (ms) is a relatively common acquired chronic relapsing demyelinating disease involving the central nervous system, and is the second most common cause of neurological impairment in young adults, after trauma 19. In multiple sclerosis, the protective coating on nerve fibers (myelin) is damaged and may eventually be destroyed. La esclerosis múltiple (em) o esclerosis de placas es una enfermedad neurológica crónica de naturaleza inflamatoria y autoinmune caracterizada por el desarrollo de lesiones desmielinizantes, y de daño axonal en el sistema nervioso central. Multiple sclerosis (ms), also known as encephalomyelitis disseminata, is a demyelinating disease in which the insulating covers of nerve cells in the brain and spinal cord are damaged.

En la esclerosis múltiple, la histología o estudio de los tejidos del sistema nervioso reveló que hay un proceso de inflamación que daña la capa de mielina pueden compararse tratamientos en función de la histología de la esclerosis múltiple, diseñando planes terapéuticos con aquellos que han. Esclerosis multiple la degeneración axonal es un proceso que ocurre como consecuencia de una amplia variedad de trastornos metabólicos, tóxicos, hereditarios e inflamatorios los impulsos nerviosos que pasan por esos sitios se interrumpen y en ocasiones quedan totalmente bloqueados.(5). Antonio robles gentile médico c.c., centros asistenciales getafe y pinto correspondencia: Multiple sclerosis (ms) causes, signs and general information at patient.info. Este material puede ser reproducido total o parcialmente para fines de diseminación y capacitación.

Http Sid Usal Es Idocs F8 Fdo22169 Anatomia Patologica Pdf
Http Sid Usal Es Idocs F8 Fdo22169 Anatomia Patologica Pdf from
El sistema inmunitario normalmente protege al cuerpo, pero en la em ataca a la mielina de las células nerviosas (neuronas) por error. Multiple sclerosis (ms), also known as encephalomyelitis disseminata, is a demyelinating disease in which the insulating covers of nerve cells in the brain and spinal cord are damaged. Mayo 20, 2012 guías de práctica clínica, neurología no comments. Multiple sclerosis (ms) is a chronic, sometimes disabling, disease of the central nervous system. Guía clínica esclerosis múltiple santiago: Ivan balicevic boras calle bailarín josé espadero 10/portal 1/3ºa, 03015 alicante tfn.: Aunque el origen de la esclerosis múltiple es aún una incógnita, dos hipótesis complementarias cobran actualmente especial fuerza: Esclerosis múltiple se caracteriza por la triada de:

La esclerosis múltiple es una enfermedad neurológica y degenerativa cuya causa es la desmielinización.

Este material puede ser reproducido total o parcialmente para fines de diseminación y capacitación. Multiple sclerosis (ms) causes, signs and general information at patient.info. Afecta al sistema nervioso central, formado por el cerebro y la médula espinal. Ivan balicevic boras calle bailarín josé espadero 10/portal 1/3ºa, 03015 alicante tfn.: Multiple sclerosis affects 2.5 million people worldwide, including 400,000 americans. Universidad autónoma de querétaro facultad de enfermería esclerosis múltiple fisiopatología ii dirigido a: Manifestaciones clínicas y patrones de evolución. Multiple sclerosis (ms), also known as encephalomyelitis disseminata, is a demyelinating disease in which the insulating covers of nerve cells in the brain and spinal cord are damaged. La esclerosis múltiple es una enfermedad crónica, con una clínica muy variable que evoluciona de manera diferente en cada caso. La esclerosis múltiple (em) es una enfermedad neurológica; Early ms symptoms include weakness, tingling, numbness, and blurred vision. Depending on where the nerve damage occurs, ms can affect vision, sensation, coordination, movement, and bladder and bowel control. From the mr center for ms research, radiology department of the 'vrije universiteit' medical center, amsterdam and the rijnland hospital, leiderdorp, the netherlands.

No es una no se no es no es enfermedad puede hereditaria mortal contagiosa prevenir tipos de esclerosis multiple: esclerosis multiple. Multiple sclerosis (ms) is an autoimmune disease that affects the brain and spinal cord (central nervous system).

Posting Komentar

0 Komentar